Doença do Carrapato
/Conhecida popularmente como “Doença do carrapato” as hemoparasitoses são doenças muito comuns na clínica de pequenos animais, sendo transmitidas principalmente pelo carrapato (Rhipicephalus sanguineus), provocam doenças graves e podendo levar a morte do animal.
Podem ser causadas por protozoários como a Babesia spp. (Babesiose) ou bactérias como a Ehrlichia canis (Erlichiose canina). Grandes infestações podem levar o animal a uma anemia severa já que o carrapato se alimento do sangue do cão, porém, não apenas grandes infestações podem transmitir a doença, sendo um carrapato que esteja contaminado com a doença já é suficiente para transmissão.
Apesar de ambas serem transmitidas pela saliva do carrapato, são doenças distintas:
Babesiose
A babesiose é uma doença parasitária que causa anemia em decorrência da infecção das hemácias ou glóbulos vermelhos do sangue. No interior das hemácias o parasita se divide, formando dois ou quatro indivíduos, fazendo com que haja a ruptura da célula e infecção de novas hemácias.
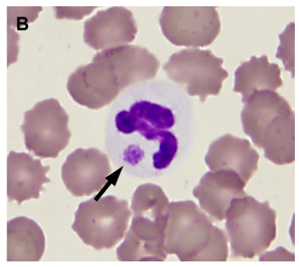
Erlichiose
A erlichiose e uma doença bacteriana que pode causar trombocitopenia (plaquetas baixas) ou leucopenia (leucócitos baixos) em decorrência da infecção dos trombócitos (plaquetas) e dos leucócitos (monócitos e polimorfonucleares) respectivamente. Há três estágios da Erlichiose: a infecção aguda, a subclínica e a crônica. Estes estágios da doença vêm sendo descritos em cães, entretanto é difícil a distinção entre eles em animais infectados de forma natural. Porém, durante a fase subclínica, os animais podem não apresentar nenhum sintoma, podendo essa durar por até cinco anos evoluindo para a fase crônica.
Sintomas como apatia, mucosas pálidas, febre, falta de apetite, vômito, diarreia, dispneia, cansaço fácil, tosse, hematúria, alterações neurológicas (convulsão e ataxia) e alterações oftalmológicas como uveíte , ceratite, ceratoconjuntivite seca, ulceras corneais, hemorragias intraoculares (hifema), glaucoma agudo e cegueira súbita , são os sintomas mais comumente observados.
Está se tornando muito comum observar na rotina do consultório oftalmológico, animais apresentando alterações oftalmológicas como o único sintoma de infecção por hemoparasitoses, doenças infecciosas, metabólicas , tumorais e cardiológicas. Isso ocorre devido aos olhos funcionarem como “linfonodos ou Ganglios “ ficando reativos a aqualquer alteração que possa estar ocorrendo no organismo. Após oexame ocular detalhado (realizado pelo oftalmologista veterinário) e exames laboratoriais, indicados durante a consulta, se constatado que a origem das alterações oculares é sistêmica, o animaldeverá ser tratado em conjunto com o veterinário clinico.
Sabe se que a erlichiose é uma doença tratável em qualquer fase, porém pode ser fatal se não descoberta a tempo. Um diagnostico precoce é sempre a melhor opção podendo não somente salvar a vida do seu animal como evitar a cegueira.
Caso desconfie que seu animal esteja apresentando algum dos sintomas consulte um veterinário.



